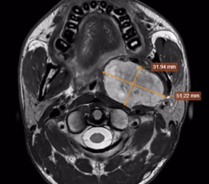
Trường hợp gần đây tại Bệnh viện Đa khoa Tâm Anh Hà Nội đã ghi nhận một ca bệnh đặc biệt với diễn tiến âm thầm của khối u ở vùng khoang họng. Bệnh nhân là Hoàng, 19 tuổi, người đã trải qua gần một năm với triệu chứng nghẹn mà không kèm theo sốt hoặc đau họng. Điều đáng chú ý là anh không tìm kiếm sự giúp đỡ y tế trong thời gian dài, có thể do triệu chứng không rõ ràng hoặc không gây đau đớn.

Tình trạng của Hoàng chỉ trở nên nghiêm trọng trong hai tuần gần đây khi vùng góc hàm trái của anh bắt đầu sưng và xuất hiện một khối cứng. Khối này không di động và không gây đau, nhưng sự xuất hiện của nó đã khiến Hoàng tìm kiếm sự giúp đỡ y tế. Khi đến bệnh viện, các bác sĩ đã tiến hành thăm khám và thực hiện các xét nghiệm cần thiết để xác định nguyên nhân của khối u và triệu chứng nghẹn mà Hoàng đã trải qua.
Việc phát hiện và điều trị sớm các khối u ở vùng khoang họng là rất quan trọng để ngăn chặn sự tiến triển của bệnh và cải thiện tiên lượng cho bệnh nhân. Trường hợp của Hoàng là một ví dụ điển hình về sự tiến triển âm thầm của khối u và tầm quan trọng của việc theo dõi và thăm khám sức khỏe định kỳ để phát hiện sớm các vấn đề sức khỏe tiềm ẩn.
Các bác sĩ tại Bệnh viện Đa khoa Tâm Anh Hà Nội đã kêu gọi người dân không nên chủ quan với các triệu chứng không rõ ràng và nên tìm kiếm sự giúp đỡ y tế nếu có bất kỳ dấu hiệu bất thường nào. Việc tầm soát và điều trị sớm có thể giúp ngăn chặn sự tiến triển của bệnh và cải thiện chất lượng cuộc sống cho bệnh nhân.
Đối với những trường hợp như Hoàng, việc hiểu biết về các triệu chứng và dấu hiệu của khối u ở vùng khoang họng có thể giúp họ chủ động hơn trong việc bảo vệ sức khỏe của mình. Nếu bạn hoặc người thân có triệu chứng tương tự, hãy liên hệ với các chuyên gia y tế để được tư vấn và thăm khám kịp thời. Thông tin và hỗ trợ có thể được tìm thấy qua trang web chính thức của Bệnh viện Đa khoa Tâm Anh hoặc liên hệ trực tiếp với bệnh viện để được hỗ trợ.